Youtube
Khu đất nền The Green Valley là dự án đất nền ghỉ dưỡng, được đầu tư và phát triển Công ty Cổ phần Đầu tư Dịch vụ Bất động sản Viethouse. Dự án có tổng diện tích hơn 5 ha, được chia làm 3 giai đoạn. Trong giai đoạn 1 sẽ cung cấp ra thị trường 82 nền villa & biệt thự, có diện tích từ 350 – 471 m2.
Tin cùng chuyên mục
Có thể bạn quan tâm

Ngày càng nhiều trẻ bị tác dụng phụ do dùng thuốc chứa corticoid: Dược sĩ chỉ rõ cách nhận biết corticoid trong đơn...
Tin tổng hợpNhiều cha mẹ không hề biết sự nguy hiểm của corticoid khi tự ý dùng lại toa thuốc cũ, tự mua thêm cho con dùng mà chưa có sự đồng ý của bác sĩ.
Nữ diễn viên 54 tuổi của phim Queen of Tears: "Tôi đã uống loại nước này được 6 tháng và thấy tóc đang dày hơn, tóc...
Tin tổng hợpNữ diễn viên Kim Jung Nan sẽ bật mí cho chị em loại nước thần kỳ cho mái tóc.

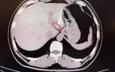
Người đàn ông 37 tuổi suýt mất nửa lá gan vì ăn cá
Tin tổng hợpThịt cá ngon và bổ dưỡng nhưng nếu mắc phải lỗi sai này, bạn có thể mất đi nửa, thậm chí cả lá gan của mình.

Trong 3 tháng cuối năm, 4 con giáp này sẽ gặp một bất ngờ lớn: Điều không tưởng này đang diễn ra!
Tin tổng hợp3 tháng cuối năm 2025, 4 con giáp này sẽ đón cú "twist" bất ngờ liên quan đến học hành và mối quan hệ, khiến ai cũng ngỡ ngàng.

Vì sao đất nền khu đô thị quy hoạch được lựa chọn trở lại?
Tin tổng hợpTrước biến động của thị trường, dòng vốn đầu tư đang tìm về những tài sản an toàn hơn. Đất nền khu đô thị quy hoạch với pháp lý hoàn chỉnh, hạ tầng đồng bộ và tiềm năng tăng giá ổn định đang được xem là "nơi trú ẩn" vững vàng của nhà đầu tư.

Săn ngay vé máy bay giá rẻ đi Đà Lạt, du xuân chill hết nấc cùng Traveloka
Tin tổng hợpThật tuyệt vời khi bắt đầu năm mới tại Đà Lạt – thành phố của sương, của hoa và những buổi sáng ngọt lành trong nắng. Cùng Traveloka săn vé máy bay giá rẻ, để chuyến du xuân của bạn trở nên nhẹ nhàng và trọn vẹn hơn bao giờ hết.

So sánh iPhone 17 thường vs 17 Pro Max - Xem chi tiết giá bán, thông số, cấu hình
Tin tổng hợpSo sánh iPhone 17 thường vs 17 Pro Max là một trong những chủ đề được nhiều tín đồ công nghệ, đặc biệt là những ai có ý định lên đời 2 mẫu flagship này. Mặc dù cùng thuộc phân khúc cao cấp, bản thường và Pro Max vẫn có nhiều điểm khác biệt. Hãy tham khảo bài so sánh dưới đây để lựa chọn iPhone 17 thích hợp.