Theo thông tin từ Bệnh viện Nhân dân huyện Thanh Điền (Trung Quốc), bệnh viện này mới tiếp nhận một ca cấp cứu đặc biệt nguy hiểm. Bệnh nhân là nam giới, có tiền sử uống rượu kéo dài. Tối hôm xảy ra sự việc, sau khi uống nhiều rượu, người này bị ngã. Do đang trong tình trạng say, ý thức không tỉnh táo, bệnh nhân từ chối làm các xét nghiệm cần thiết tại bệnh viện rồi tự ý về nhà.
Đến sáng hôm sau, tình trạng bất thường mới thực sự bộc lộ. Bệnh nhân xuất hiện bụng chướng căng như trống, đau bụng dữ dội và hoàn toàn không thể đi tiểu. Gia đình đưa đến một phòng khám gần nhà xử lý tạm thời nhưng không cải thiện, thậm chí triệu chứng ngày càng nặng hơn, buộc phải chuyển gấp đến bệnh viện.

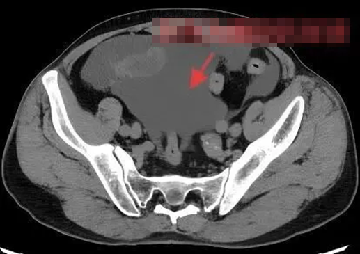
Nước tiểu trong ổ bụng bệnh nhân
Kết quả chụp cắt lớp vi tính (CT) cấp cứu cho thấy trong ổ bụng bệnh nhân có một lượng lớn dịch bất thường. Các bác sĩ nhanh chóng hội chẩn và nghi ngờ cao tình trạng vỡ bàng quang. Sau khi được khoa Tiết niệu đánh giá, bệnh nhân được chẩn đoán mắc vỡ bàng quang trong phúc mạc, một trong những thể vỡ bàng quang nguy hiểm nhất.
Theo bác sĩ, ở thể tổn thương này, chỗ rách của bàng quang thông trực tiếp với khoang bụng, khiến nước tiểu liên tục rò rỉ vào ổ bụng. Nếu không can thiệp kịp thời, người bệnh rất dễ rơi vào viêm phúc mạc nhiễm trùng, sốc nhiễm trùng, đe dọa trực tiếp đến tính mạng.
Ca bệnh càng trở nên phức tạp khi các bác sĩ phát hiện bệnh nhân từng phẫu thuật thủng đường tiêu hóa và cắt ruột thừa do uống rượu nhiều năm trước. Ổ bụng có sẹo mổ cũ, nguy cơ dính ruột cao. Nếu mổ mở theo cách truyền thống để khâu bàng quang, nguy cơ chảy máu nhiều, tổn thương lớn, thời gian hồi phục kéo dài và biến chứng sau mổ sẽ tăng lên đáng kể.

Sau khi cân nhắc toàn diện tình trạng nguy kịch và tiền sử phẫu thuật phức tạp của bệnh nhân, ê-kíp quyết định lựa chọn phẫu thuật nội soi khâu bàng quang, nhằm giảm tối đa xâm lấn và đảm bảo an toàn.
Ê-kíp nhanh chóng triển khai phương án mổ cá thể hóa, sử dụng kỹ thuật nội soi ổ bụng ba lỗ kết hợp phương pháp Hasson để tạo khoang bụng an toàn. Dưới hình ảnh nội soi phóng đại rõ nét, các bác sĩ phát hiện bàng quang của bệnh nhân bị rách một đường dài tới 10cm, mép vết rách không đều, lượng lớn nước tiểu đã tràn vào ổ bụng, gây phản ứng viêm tại chỗ.
Nhờ phối hợp nhịp nhàng và thao tác chính xác, toàn bộ ca phẫu thuật chỉ diễn ra trong khoảng 30 phút, lượng máu mất rất ít. Bệnh nhân nhanh chóng được xử trí dứt điểm tổn thương, từ tình trạng nguy kịch chuyển sang ổn định.
Bác sĩ cảnh báo chấn thương sau ngã không nên chủ quan
Các chuyên gia cho biết, vỡ bàng quang thường gặp trong các trường hợp gãy xương chậu, va đập mạnh vùng bụng. Khi uống rượu, khả năng phản xạ và giữ thăng bằng của cơ thể suy giảm rõ rệt, nguy cơ té ngã và chấn thương nội tạng tăng cao, trong đó có bàng quang.
Người dân cần đặc biệt cảnh giác nếu sau chấn thương xuất hiện các dấu hiệu như đau bụng, bụng chướng, tiểu khó, bí tiểu hoàn toàn hoặc tiểu ra máu. Đây có thể là dấu hiệu của tổn thương bàng quang nguy hiểm. Trong những trường hợp này, cần đến ngay bệnh viện chính quy để được thăm khám và xử trí kịp thời, tuyệt đối không tự điều trị hay trì hoãn, bởi nước tiểu rò rỉ trong ổ bụng có thể nhanh chóng gây nhiễm trùng nặng, dẫn đến hậu quả không thể cứu vãn.
Nguồn và ảnh: QQ
Mỹ Diệu