Mới đây, BS Cao Thanh Phong (Chuyên ngành Y học cổ truyền, Cơ xương khớp và thần kinh cột sống, làm việc tại Hà Nội) tiếp nhận bệnh nhân nam 37 tuổi (tạm gọi là anh Nam, nhân viên văn phòng, làm việc tại Hà Nội) bị thoát vị đĩa đệm do chơi pickleball sai cách.

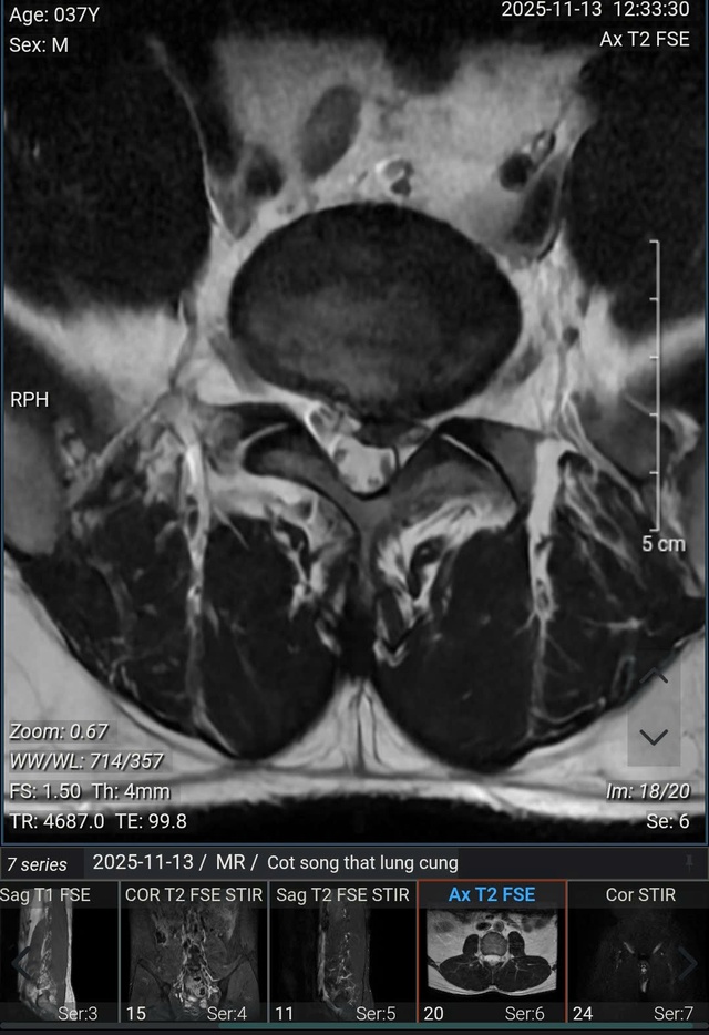
(Ảnh chụp MRI của anh Nam, 37 tuổi (Hà Nội)).

Anh Nam không có tiền sử bị chấn thương hay đau nhức xương khớp nên không thăm khám sức khỏe xương khớp trước khi chơi. Do tính chất công việc, anh ngồi nhiều, ngồi lâu 1 chỗ. Khi phong trào chơi pickleball nở rộ, nghĩ bộ môn có vẻ nhẹ nhàng lại vui vẻ, kết nối được nhiều người xung quanh, anh đăng ký tham gia chơi mà không có hướng dẫn tập luyện trước đó, chỉ được bạn chơi truyền lại chút kinh nghiệm.
Cách đây 2 tháng, anh Nam ngã đập người khi chạy theo đón bóng trái tay. Định đứng dậy, anh Nam nghe thấy tiếng kêu “khục”, rồi không thể tự đứng dậy được. Về nhà, anh xuất hiện tình trạng đau lưng. Tưởng chỉ cần nghỉ ngơi vài bữa là hết, nhưng tình trạng của anh ngày càng nặng thêm, không đứng thẳng lưng cũng không cúi người, người bị vẹo sang 1 bên thấy rõ. Ngồi đau, đứng đau, đổi tư thế cũng khiến anh đau đớn vô cùng. Không chịu đựng nổi, anh quyết định đi khám.
Kết quả chụp MRI cho thấy, bệnh nhân bị thoái hóa cột sống thắt lưng, thoát vị nội xốp các đĩa đệm từ L2/3 đến L5/S1, phình - thoát vị đĩa đệm L4/5 ra sau thể trung tâm gây chèn ép bao màng cứng, gây hẹp nhẹ ống sống, không gây chèn ép rõ rệt các rễ thần kinh; phình - thoát vị đĩa đệm L5/S1 ra sau thể trung tâm lệch trái gây chèn ép bao màng cứng, gây hẹp ống sống, hẹp ngách bên - lỗ tiếp và chèn ép các rễ thần kinh 1 bên ngang mức (trái > phải).
Bác sĩ chỉ định anh Nam phải làm giãn các nhóm co cơ hướng tâm, bôi gel lạnh để giảm đau, nằm nghỉ ngơi để qua cơn đau cấp. Anh cũng được hướng dẫn tập nhẹ nhàng 1 số bài trên giường để khoẻ cơ lõi và giảm chèn ép. Ăn kiêng theo chế độ riêng, tránh các thực phẩm gây viêm. Tập đều đặn mỗi ngày từ ngày bắt đầu điều trị theo bài tập cá nhân hoá, rảnh là tập khoảng 2-3 lần/ngày.
Sau 7 ngày điều trị, kết quả cải thiện rõ rệt, anh Nam đã có thể đi lại và làm việc thoải mái.

Khuyến cáo tập pickleball cho dân văn phòng
Theo BS Cao Thanh Phong, pickleball là bộ môn vận động cường độ vừa, phù hợp giải phóng năng lượng sau nhiều giờ ngồi trước máy tính. Tuy nhiên, người làm việc văn phòng có thói quen ngồi lâu thường có tình trạng cứng cơ vùng vai - cổ, giảm sức mạnh lõi (core), dễ mất ổn định khớp gối và cột sống thắt lưng. Vì vậy, khi chơi pickleball, nhóm đối tượng này cần đặc biệt tuân thủ nguyên tắc an toàn.
Khuyến cáo chung: Khởi động kỹ tối thiểu 10 - 15 phút trước khi vào sân; kiểm soát tư thế khi chơi thật tốt; sau khi kết thúc cần giãn cơ đầy đủ. Đặc biệt với người làm việc văn phòng ngồi lâu, từng có tiền sử thoát vị đĩa đệm, chấn thương dây chằng hoặc đau thắt lưng mãn tính, cần tăng cường thêm bài tập core như plank, dead bug, glute bridge trước khi quay lại sân; tránh các động tác đổi hướng đột ngột, cúi gập lưng sâu hoặc xoay hông quá biên độ khi đón bóng. Trường hợp đau kéo dài sau buổi tập, tê lan xuống chân, hoặc sưng khớp, cần tạm ngưng và kiểm tra với bác sĩ chuyên khoa.
Ngoài ra nên chọn giày đế phẳng, độ bám tốt cho sân cứng, không chơi trên bề mặt trơn trượt; duy trì lịch tập 2–3 buổi/tuần thay vì chơi dồn vào cuối tuần để tránh "chấn thương cuối tuần" (weekend warrior).
Tuấn Minh