
Rau bina (cải bó xôi) vốn được biết đến là loại rau giàu dinh dưỡng, tốt cho sức khỏe, thế nhưng, loại rau tưởng chừng vô hại này lại có thể trở thành “thủ phạm” khiến thận bị tổn thương nghiêm trọng nếu ăn quá nhiều.
Ông Trần (42 tuổi, Trung Quốc), vốn sức khỏe bình thường, chỉ mắc gout nhẹ nhưng không điều trị thuốc. Một tuần trước, ông liên tục cảm thấy mệt mỏi, buồn ngủ, đi ngoài 4-5 lần mỗi ngày. Khi đến bệnh viện kiểm tra, kết quả xét nghiệm khiến cả gia đình bàng hoàng vì chỉ số creatinine trong máu lên tới 430μmol/L (cao gấp nhiều lần bình thường), CT bụng cho thấy thận xuất hiện nhiều nốt bất thường.


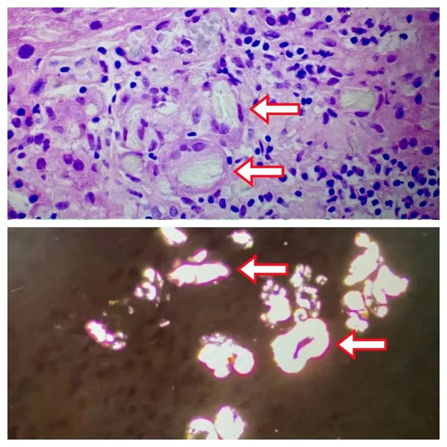
Sau nhiều xét nghiệm và sinh thiết, bác sĩ phát hiện trong thận ông Trần có vô số tinh thể sắc nhọn lấp lánh cùng phản ứng viêm mạnh. Kết luận cuối cùng là ông mắc bệnh thận do lắng đọng oxalat, hay còn gọi là “oxalate nephropathy”. Đây là tình trạng tinh thể oxalat canxi tích tụ trong ống thận, phá hủy mô thận và làm suy giảm chức năng.
Đi sâu tìm nguyên nhân, bác sĩ phát hiện trước đó ông Trần đã ăn liên tục nhiều ngày rau bina. Rau này chứa hàm lượng cao axit oxalic, kết hợp với việc ông bị tiêu chảy liên tục, khiến cơ thể hấp thu và đào thải bất thường, từ đó gây ra tổn thương thận cấp tính. Rất may, sau khi được điều trị kịp thời bằng truyền dịch, lợi tiểu, bổ sung canxi và bảo vệ chức năng thận, sức khỏe ông đã cải thiện rõ rệt, chỉ số creatinine giảm về gần mức bình thường.
Vì sao rau bina lại gây hại thận?
Trong cơ thể, oxalat chủ yếu được thận đào thải qua nước tiểu. Khi lượng oxalat tăng cao bất thường, chúng sẽ kết hợp với canxi tạo thành tinh thể oxalat canxi - giống như những mảnh “thủy tinh vụn” gây xước, tắc nghẽn ống thận, hình thành sỏi và dần dần phá hủy chức năng thận. Nếu không điều trị, bệnh có thể tiến triển thành suy thận mạn, thậm chí phải lọc máu hoặc ghép thận.
Bệnh này có hai dạng:
- Nguyên phát (hiếm gặp): Do đột biến gen khiến gan sản sinh quá nhiều oxalat.
- Thứ phát (phổ biến hơn): Thường gặp ở người ăn nhiều thực phẩm giàu oxalat (như rau bina, củ cải đường, socola, trà đặc), người mắc bệnh đường ruột, bệnh thận, hoặc bổ sung vitamin C quá liều. Trường hợp của ông Trần chính là dạng thứ phát.

Những ai cần hạn chế rau giàu oxalat?
- Người có bệnh thận mạn tính;
- Người từng bị sỏi thận;
- Bệnh nhân gout;
- Người tiêu hóa kém hoặc đang dùng thuốc đặc biệt (như thuốc chống đông).
Lời khuyên phòng ngừa từ bác sĩ
- Uống đủ nước: 2-2,5 lít mỗi ngày (tùy tình trạng sức khỏe), giúp pha loãng nước tiểu và ngăn tinh thể hình thành.
- Chế biến đúng cách: Với rau chứa nhiều oxalat như rau bina, cần chần qua nước sôi trước khi xào nấu để loại bỏ bớt độc tố.
- Ăn uống cân đối: Hạn chế thực phẩm giàu oxalat, đồng thời bổ sung đủ canxi (sữa, phô mai, sữa chua) trong bữa ăn để oxalat gắn kết và thải ra ngoài.
- Không lạm dụng vitamin C: Uống quá liều dễ làm tăng oxalat trong cơ thể.
Rau xanh tốt cho sức khỏe, nhưng ăn sai cách lại có thể biến thành “dao hai lưỡi”. Câu chuyện của ông Trần là lời nhắc nhở mạnh mẽ: ngay cả loại rau quen thuộc như rau bina, nếu ăn quá nhiều và không chế biến đúng cách, cũng có thể dẫn tới hậu quả khó lường cho thận.
Nguồn và ảnh: QQ
Nguyệt Quang