logo
ISSN 2734-9020

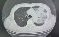
phổi trắng

Người đàn ông sốt 40 độ C, phổi gần như 'trắng xóa", chỉ vài ngày đã suy đa tạng: Thủ phạm liên quan đến thói quen nhiều gia đình vẫn mắc

Người đàn ông sốt 40 độ C, phổi gần như 'trắng xóa", chỉ vài ngày đã suy đa tạng: Thủ phạm liên quan đến thói quen nhiều gia đình vẫn mắc

Tin tổng hợp

Một chiếc điều hòa lâu ngày không được vệ sinh có thể tiềm ẩn rủi ro sức khỏe nghiêm trọng mà nhiều người không ngờ tới.

Bé trai 12 tuổi "phổi trắng xóa” chỉ sau 1 ngày mắc cúm: Cách phát hiện sớm cúm nặng ở trẻ

Bé trai 12 tuổi "phổi trắng xóa” chỉ sau 1 ngày mắc cúm: Cách phát hiện sớm cúm nặng ở trẻ

Tin tổng hợp

Một bé trai 12 tuổi nhiễm cúm A chủng H3N2, chỉ sau 24 giờ hình ảnh phổi đã xuất hiện tình trạng viêm lan tỏa nghiêm trọng, còn gọi là “phổi trắng”.

Nữ sinh 17 tuổi ho ra máu, "phổi trắng xóa", suy đa tạng vì thói quen hàng đêm của nhiều người

Nữ sinh 17 tuổi ho ra máu, "phổi trắng xóa", suy đa tạng vì thói quen hàng đêm của nhiều người

Tin tổng hợp

Nữ sinh chuẩn bị bước vào năm cuối cấp 3, bất ngờ rơi vào cảnh nguy kịch vì hệ thống miễn dịch rối loạn, đồng thời mắc viêm mạch hệ thống, lupus ban đỏ và huyết khối vi mạch - ba căn bệnh tự miễn cực hiếm, khiến cả phổi, thận đều suy, tính mạng chỉ tính bằng giờ.

Người đàn ông bị "phổi trắng" vì quên làm 1 việc khi dùng điều hòa

Người đàn ông bị "phổi trắng" vì quên làm 1 việc khi dùng điều hòa

Tin tổng hợp

Các chuyên gia nhắc nhở mọi người cảnh giác với bệnh viêm phổi do vi khuẩn Legionella khi dùng điều hòa trong mùa hè này.