logo
ISSN 2734-9020

Người đàn ông sốt 40 độ C, phổi gần như 'trắng xóa", chỉ vài ngày đã suy đa tạng: Thủ phạm liên quan đến thói quen nhiều gia đình vẫn mắc

Thứ hai, 09/03/2026 - 14:08

Một chiếc điều hòa lâu ngày không được vệ sinh có thể tiềm ẩn rủi ro sức khỏe nghiêm trọng mà nhiều người không ngờ tới.

Mới đây, Khoa Hồi sức tích cực của Bệnh viện Thái Châu (Chiết Giang, Trung Quốc) tiếp nhận một bệnh nhân nam 70 tuổi bị viêm phổi nặng do nhiễm vi khuẩn Legionella. Nguyên nhân được cho là liên quan đến việc sử dụng điều hòa trong thời gian dài nhưng không vệ sinh.

Bệnh nhân có tiền sử cao huyết áp và tiểu đường nhiều năm. Vào giữa tháng 1, ông được chuyển khẩn cấp đến Khoa Hồi sức tích cực của Bệnh viện Thái Châu với triệu chứng sốt cao kèm tức ngực kéo dài một tuần, trở nặng trong 1 ngày.

Theo người nhà, khi mới phát bệnh, ông sốt cao tới 40,5 độ C, kèm theo rét run, ho có đờm, thậm chí đờm lẫn máu, cùng với tiêu chảy dạng nước. Các triệu chứng ban đầu khá giống một đợt cảm cúm nặng. Sau khi tự uống thuốc hạ sốt ibuprofen, tình trạng có giảm tạm thời nhưng nhanh chóng tái phát.

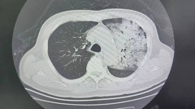
Sau khoảng một tuần điều trị tại bệnh viện địa phương, bệnh tình của ông đột ngột xấu đi. Bệnh nhân bắt đầu khó thở, rối loạn ý thức. Kết quả chụp CT cho thấy 2 phổi bị nhiễm trùng nặng, gần như “trắng xóa”. Dù đã được hỗ trợ thở máy nhưng tình trạng oxy máu vẫn không cải thiện.

Nhờ can thiệp bằng ECMO, các bác sĩ mới tạm thời ổn định được dấu hiệu sinh tồn cho bệnh nhân.

Người đàn ông sốt 40 độ C, phổi gần như “trắng xóa”, chỉ vài ngày đã suy đa tạng: Thủ phạm liên quan đến thói quen nhiều gia đình vẫn mắc - Ảnh 1.

Từ khởi phát đến suy đa cơ quan chỉ trong vài ngày

Bác sĩ Thôi Khả, Trưởng khoa Hồi sức tích cực của bệnh viện, cho biết quá trình diễn tiến bệnh ở bệnh nhân rất nhanh.

“Chỉ trong khoảng 3-4 ngày từ khi khởi phát, bệnh nhân đã tiến triển đến suy đa cơ quan. Các loại kháng sinh thông thường gần như không có tác dụng. Điều này khiến chúng tôi nghi ngờ bệnh nhân bị nhiễm một loại tác nhân gây bệnh đặc biệt”, bác sĩ nói.

Sau khi tiến hành giải trình tự gen metagenome từ dịch rửa phế nang, các bác sĩ xác định bệnh nhân mắc viêm phổi do vi khuẩn Legionella pneumophila.

Khi khai thác thêm tiền sử sinh hoạt, gia đình cho biết điều hòa trong nhà bệnh nhân lâu ngày không được vệ sinh, đồng thời ông có thói quen đóng kín cửa và bật điều hòa trong thời gian dài.

Theo bác sĩ, đây có thể chính là nguồn lây nhiễm.

Vi khuẩn Legionella - “sát thủ vô hình” trong điều hòa

Bác sĩ Thôi Khả cho biết, vi khuẩn Legionella ưa môi trường ấm và ẩm. Vì vậy, những nơi như nước làm mát của điều hòa, vòi sen, tháp giải nhiệt hoặc các hệ thống nước nhân tạo đều có thể trở thành ổ chứa vi khuẩn.

Khi các thiết bị này hoạt động, nước có thể tạo thành khí dung (aerosol) chứa vi khuẩn. Nếu con người hít phải, nguy cơ nhiễm bệnh sẽ tăng lên.

“Gần như mỗi năm chúng tôi đều tiếp nhận một số bệnh nhân viêm phổi do Legionella. Nhiều trường hợp có liên quan đến việc sử dụng điều hòa không đúng cách”, bác sĩ cho biết.

Bệnh tiến triển nhanh, tỷ lệ tử vong có thể đến 50%

Theo các chuyên gia, Legionella là loại vi khuẩn tồn tại rộng rãi trong nguồn nước ngọt tự nhiên.

Khi gây viêm phổi, bệnh có thể tiến triển rất nhanh. Nếu không được điều trị kịp thời, bệnh nhân có thể suy hô hấp, sốc nhiễm trùng, suy thận cấp hoặc suy đa cơ quan chỉ trong vòng một tuần.

Thống kê cho thấy:

- Khoảng 44% bệnh nhân viêm phổi do Legionella phải điều trị tại khoa hồi sức tích cực (ICU).

- Tỷ lệ tử vong khoảng 10-15%.

- Với trường hợp nhiễm bệnh trong bệnh viện, tỷ lệ tử vong có thể lên tới 25-50%.

Do nam bệnh nhân có nhiều bệnh nền và hệ miễn dịch suy yếu nên tình trạng đặc biệt nghiêm trọng. Sau hơn 20 ngày điều trị tích cực, kết hợp ECMO và kháng sinh đặc hiệu, bệnh nhân mới có thể cai máy thở và dần hồi phục.

Triệu chứng dễ nhầm với cảm cúm

Theo bác sĩ, giai đoạn đầu nhiễm Legionella thường dễ nhầm với cảm cúm thông thường. Tuy nhiên, bệnh có thể tiến triển nhanh và gây tổn thương nhiều cơ quan.

Các biểu hiện có thể gồm:

- Thể nhẹ (sốt Pontiac): Người bệnh sốt, đau đầu, đau cơ. Triệu chứng thường tự khỏi sau 3-5 ngày.

- Thể nặng (bệnh Legionnaires): Sốt cao 39-40,5 độ C kèm rét run, ho khan hoặc khó thở, đau ngực, đờm có thể lẫn máu. Người bệnh cũng có thể buồn nôn, nôn, tiêu chảy dạng nước, rối loạn ý thức hoặc ngủ gà. Trường hợp nặng có thể dẫn đến suy hô hấp, suy thận cấp hoặc sốc nhiễm trùng.

Vì sao điều hòa dễ trở thành “ổ vi khuẩn”?

Theo bác sĩ Thôi Khả, điều hòa lâu ngày không vệ sinh rất dễ trở thành môi trường lý tưởng cho vi khuẩn Legionella phát triển.

Nguyên nhân là vì:

- Nhiệt độ nước trong hệ thống làm mát thường ở mức 25-45 độ C, phù hợp cho vi khuẩn sinh sôi

- Không khí lưu thông kém khi đóng kín cửa trong thời gian dài khiến khí dung chứa vi khuẩn tích tụ trong phòng

Cách phòng tránh bệnh

Các chuyên gia khuyến cáo một số biện pháp đơn giản để giảm nguy cơ nhiễm bệnh:

- Vệ sinh điều hòa định kỳ, đặc biệt là lưới lọc và dàn tản nhiệt.

- Sử dụng dung dịch khử khuẩn chuyên dụng hoặc bảo dưỡng bởi kỹ thuật viên.

- Khi bật điều hòa lần đầu sau thời gian dài không sử dụng, nên mở cửa thông gió trước.

- Trong quá trình sử dụng điều hòa, nên mở cửa sổ vài giờ một lần để trao đổi không khí.

- Người cao tuổi, bệnh nhân mắc bệnh mạn tính hoặc có hệ miễn dịch suy yếu nên tránh ở trong phòng điều hòa kín quá lâu.

Các bác sĩ cũng lưu ý, nếu xuất hiện các triệu chứng như sốt cao, ho, tiêu chảy và không đáp ứng với kháng sinh thông thường, cần cảnh giác với nguy cơ nhiễm Legionella và đi khám sớm. Việc chẩn đoán có thể được thực hiện thông qua xét nghiệm kháng nguyên trong nước tiểu, nuôi cấy đờm hoặc xét nghiệm dịch rửa phế nang.

Nếu được điều trị sớm bằng các kháng sinh đặc hiệu, nguy cơ tử vong có thể giảm đáng kể.

Nguồn và ảnh: QQ

Mỹ Diệu