Niềng răng từ lâu đã được biết đến là một phương pháp y khoa giúp người thực hiện sở hữu một hàm răng đều đẹp, từ đó mang lại cho họ sự tự tin với nụ cười tươi, rạng rỡ. Theo thống kê từ các bệnh viện lớn và của ngành nha khoa, hiện nay số lượng người quan tâm đến niềng răng đang ngày càng tăng cao. Nhiều người cho rằng đây thực sự là một phương pháp "làm đẹp" hiệu quả mà bất kỳ ai gặp phải các vấn đề răng miệng như răng hô, răng móm, răng khấp khểnh… đều không thể bỏ qua.
Tuy nhiên, niềng răng thực tế cũng là một phương pháp chữa bệnh. Niềng răng giúp điều chỉnh các sai lệch trong cấu trúc răng và khớp cắn, những yếu tố tưởng chừng nhỏ nhưng lại ảnh hưởng sâu sắc đến sức khỏe răng miệng trong tương lai, khả năng ăn nhai, phát âm hay hình dáng khuôn mặt.
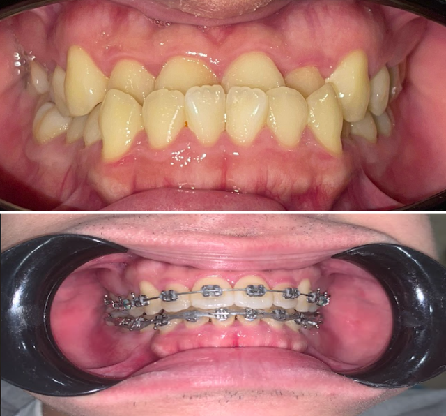
Một ví dụ điển hình là trường hợp của tiktoker Huỳnh Nhật Hào (24 tuổi, TP.HCM). Theo đó, trước khi niềng răng, Nhật Hào được bác sĩ xác định gặp phải tình trạng răng chen chúc nặng, khớp cắn móm hạng 3, độ cắn ngược nhiều.

Tiktoker Nhật Hào trước (trái) và sau khi niềng răng được 1 năm rưỡi (phải)

Dù chưa hoàn thành quá trình niềng nhưng sức khỏe răng miệng của nam tiktoker đã có những thay đổi tích cực
Nếu để lâu tình trạng này, nam tiktoker có thể phải đối mặt với tình trạng sâu răng, dẫn đến hư răng, mất răng do răng chen chúc; khớp cắn ngược ảnh hưởng đến khớp nhai thái dương hàm, để lâu khớp sẽ không đúng vị trí, gây mòn khớp, một số trường hợp dẫn đến hoại tử khớp, dính khớp, làm há - ngậm hạn chế, ăn uống khó khăn.
Ngoài ra, việc lệch khớp cắn có thể gây đau khớp thái dương, thường sẽ đi kèm với triệu chứng đau nửa đầu sau, đau âm ỉ, xuất hiện chủ yếu vào buổi sáng sau khi ngủ dậy và buổi chiều tối sau ngày dài làm việc.
Đến hiện tại, dù chưa hoàn thành quá trình niềng nhưng sau 1 năm rưỡi, anh đã có hàm răng đều, dễ vệ sinh, giải quyết hoàn toàn vấn đề khớp móm, hàm dưới không bị đưa ra trước quá mức nhờ đó khớp thái dương hàm được đặt về vị trí trung tâm ổn định, khớp cắn được cân bằng hơn. Được biết, anh sẽ cần duy trì việc niềng răng thêm nửa năm đến 1 năm nữa để đạt được hiệu quả tốt nhất cho sức khỏe răng miệng.
Trường hợp khác là bạn Ngọc Linh (22 tuổi, TP.HCM). Trước đó, Ngọc Linh đang gặp tình trạng khớp xương móm, răng chen chúc nặng, có cắn chéo vùng răng trước dẫn đến quá tải lực gây tiêu xương nhẹ vùng răng trước. Vì thế, cô cũng phải đối mặt với việc khó vệ sinh răng, dễ sâu răng và mất răng, có thể làm giảm sức nhai và phát triển nhiều bệnh toàn thân như bệnh đường tiêu hóa, sức khỏe đi xuống nếu không điều trị sớm.

Ngọc Linh trước (trái & trên phải) và sau khi niềng răng hoàn thành (dưới phải)
Trong khi đó, hiện tượng quá tải lực vùng răng trước dễ gây viêm nha chu vùng răng cửa hàm dưới, nhiều khả năng làm mất răng cửa hàm dưới sớm, lung lay và mất nhiều răng sớm.
Sau 20 tháng hoàn thành việc niềng răng, Ngọc Linh đã có hàm răng đều, tránh được tình trạng sâu răng về sau này. Đồng thời, cô cũng ổn định được khớp cắn, tăng sức nhai, và giải quyết được vấn đề cắn chéo vùng răng cửa, cân bằng được lực nhai đều ở các răng, từ đó cải thiện tình trạng nha chu của vùng răng cửa, ngăn ngừa mất răng sau này.
BS Dương Thái Thông, Hệ thống Nha khoa Tấm Dentist cho biết, qua quá trình thăm khám, bác sĩ nhận thấy chỉ một số ít các trường hợp tìm đến niềng răng là muốn cải thiện khớp cắn, chẳng hạn như răng chen chúc nhiều làm giảm cảm giác ngon miệng, thức ăn nhai không nát; một số trường hợp bị cắn hở, răng chỉ chạm nhau một số cái, ăn uống khó khăn… Còn đa phần người bệnh đến với niềng răng vì thẩm mỹ.

BS Dương Thái Thông
Tuy nhiên, điều trị niềng răng và chỉnh nha không chỉ giải quyết vấn đề về thẩm mỹ mà nó còn là chỉ định được đưa ra nhằm xử lý những bệnh lý đang âm thầm ảnh hưởng trực tiếp đến sức khỏe lâu dài như lệch lạc khớp cắn; cải thiện chức năng ăn nhai thông qua việc sắp đều những vị trí răng trên khung răng; phòng ngừa bệnh lý răng miệng, BS Thông nhận định.
Niềng răng còn có thể giúp cải thiện cả phát âm, đặc biệt ở những bạn nhỏ có vị trí răng cửa hàm trên và dưới không đúng gây phát âm không đúng những âm như âm th, âm đ, âm s… và cuối cùng là lợi ích làm đẹp, cải thiện thẩm mỹ. Do đó, niềng răng không chỉ là giải pháp cho sức khỏe răng miệng nói riêng mà còn là giải pháp cho nhiều vấn đề của sức khỏe tổng thể.
BS Thông nói thêm, niềng răng giúp điều chỉnh các sai lệch trong cấu trúc răng và khớp cắn - những yếu tố ảnh hưởng sâu sắc đến sức khỏe răng miệng trong tương lai, khả năng ăn nhai, phát âm hay hình dáng khuôn mặt. Niềng răng không phải là 1 phương pháp làm đẹp ngắn hạn hay trào lưu, mà nó là giải pháp nha khoa giúp giải quyết vĩnh viễn một số vấn đề về sức khỏe răng miệng. "Niềng răng là 1 chỉ định bắt buộc, không niềng hôm nay thì tương lai cũng phải niềng để đảm bảo sức khỏe răng miệng".
Mỹ Diệu